비용을 획기적으로 줄이고 훨씬 낮은 전력과 자기장을 사용해 뇌질환을 감지하는 이동식 자기공명영상법(MRI) 장치가 홍콩대 연구진에 의해 개발됐다.
MRI는 강력한 진단 도구지만 기계가 크고 비용으로 인해 사용할 수 있는 범위가 제한적이다.
이런 가운데 홍콩대 과학자들이 훨씬 더 작은 자기장을 사용하고 차폐를 요구하지 않으면서도(둥그런 좁은 자기장 차폐용 통 속에 들어가지 않으면서도) 환자의 뇌 질환을 진단할 수 있는 더 작고 저렴한 MRI 시스템이 개발된 것이다.
MRI기술은 인체 내 연한 부분의 조직을 스캔하기 위해 사용하는 기술로 특히 종양이나 부상, 뇌졸중 등 뇌 이상을 진단하는 데 효과적이다. 또한 엑스레이나 CT 스캔과 같은 다른 영상 기술에 비해 위험도가 훨씬 낮다.
하지만 MRI 장비는 초기 도입비용으로 수백만 달러(수십억원)가 들 수 있으며, 이 후에도 한 달에 수만 달러(수천만원)의 운영비가 들 수 있다.
그들은 많은 전력을 잡아먹으며 부피가 큰 자기장과 무선 주파수 차폐가 요구된다. 이는 전반적으로 MRI 기술 수요가 많은 곳, 특히 개도국에서 이를 사용하기 어렵게 만든다.

홍콩대 팀은 이처럼 사용하기 힘든 MRI 기술 사용을 크게 확대해 줄 더 작고 훨씬 저렴한 휴대용 MRI 장비를 개발했다.
연구팀은 새로운 연구결과를 통해 “기존 MRI는 최대 3테슬라(T) 강도의 자기장을 사용했지만 신형 기계는 0.055T의 초저자기장을 이용해 작동한다”고 말했다.
‘T’는 테슬라(Tesla)의 준말로 자기장(자기선속 밀도)의 단위다. 1테슬라는 더 작은 단위인 가우스(Gauss G)의 1만 배에 이르는 단위다. 지구 자기장의 세기는 평균 0.5가우스(G)다. 현재 국내에서는 최대 3T를 이용한 강력한 자기장을 사용해 명확한 신체 영상을 보여주는 기계까지 사용되고 있다.
홍콩대가 개발한 장비는 작은 자기장을 사용함으로써 기존 MRI 장비의 자기 차폐 통 사용 필요성을 없앴다. 또 기존 MRI 장비는 대개 외부 전자기 신호가 자석을 간섭하지 못하도록 하기 위한 무선주파수 차폐를 필요로 한다. 하지만 홍콩대 연구팀은 이 간섭을 제거하기 위해 딥러닝 알고리즘을 개발했다. 두 가지 유형의 차폐가 모두 필요하지 않게 되면서 이 장비를 소형으로 만들 수 있게 됐다.
단순하고 작은 크기의 이 이동식 MRI장비는 비용 및 전력량도 줄여준다. 연구팀은 이 기계가 표준 교류 전원 콘센트에서 작동할 수 있으며 그 비용을 2만달러(약 2390만원) 이하로 추정했다.
연구팀이 이같은 장점을 살린 최적화를 통해 MRI 장비를 500kg 이하로 줄일 수 있다고 말하지만, 이 장비는 약 2㎡의 면적을 차지하고 무게는 750kg에 이른다.

중요한 것은 이 작아진 기계가 여전히 뇌 질환을 진단하는 데 효과적이었다는 점이다.
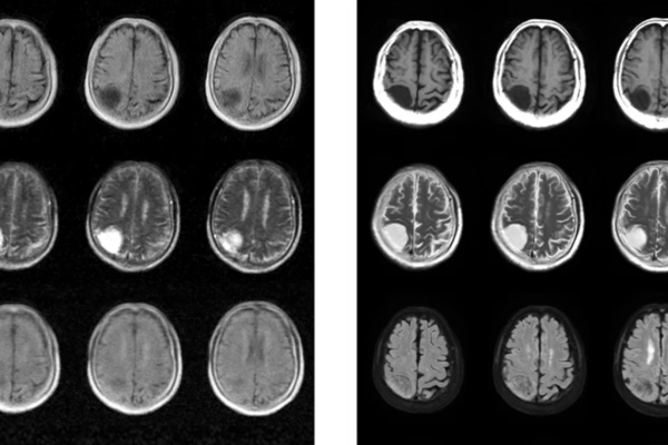
연구팀은 뇌종양 환자 13명, 허혈성 뇌졸중 환자 8명, 출혈성 뇌혈관 질환 환자 4명 등 총 25명을 대상으로 이 장비를 시험했다. 그 이미지들은 3T 자기장을 가진 MRI로 스캔된 이미지들만큼 또렷지는 않았다. 하지만 여전히 대부분의 주요 병증들이 모든 환자들에게서 포착됐다.
이 팀은 이 휴대용 초저자기장 MRI 장비가 값 싸고 크기가 작은 만큼 개도국을 포함한 더 많은 병원들이 구입할 수 있게 될 것이라고 기대하고 있다.
이 MRI장비는 심지어 병원 내에서 환자의 침상으로 옮길 수도 있다. 이는 환자를 옮기는 것이 항상 여의치 않은 중환자실이나 코로나19 병동에 도움이 된다.
수술 시 훨씬 조용하고 폐쇄공포증을 불러오는 통(튜브)에 누워있을 필요가 없기 때문에 환자도 진단시 적응하기가 훨씬 쉽고 편리하다. 또한 낮은 자기장 강도로 인해 금속성 임플란트를 가진 환자들이 더 안전하게 사용할 수 있으며 이미지 아티팩트(영상 재구성 값과 환자의 실제 감쇠 계수 간 불일치)를 줄일 수 있다. 물론 초저자기장 MRI 장비를 임상적으로 사용하기 전에 개선하기 위해 아직 해야 할 일이 많다.
한편 앞서 미식품의약청(FDA)은 이미 하이퍼파인(Hyperfine)에서 내놓은 이와 유사한 0.064T의 파워를 가진 시스템을 승인한 바 있다.
이 연구는 네이처 커뮤니케이션즈 지에 실렸다.

소셜댓글