post
검색:
뉴스
테크
스타트업
비즈니스
마케팅
디지털라이프
+AI요약
+리플루언서
+컨퍼런스
close
뉴스
테크
스타트업
비즈니스
마케팅
디지털라이프
+AI요약
+리플루언서
+컨퍼런스
헬스케어
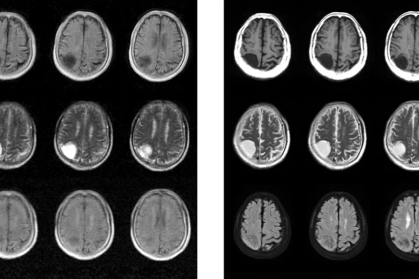
수억원대 장비를 수천만원대로···자기장까지 줄인 이동식 MRI 등장
디지털라이프
이재구 기자
2021.12.17
비용을 획기적으로 줄이고 훨씬 낮은 전력과 자기장을 사용해 뇌질환을 감지하는 이동식 자기공명영상법(MRI) 장치가 홍콩대 연구진에 의해 개발됐다. MRI는 강력한 진단...
통신사·빅테크가 헬스케어 사업에 진출하는 이유는 뭘까?
인사이트42
황정호 기자
2021.12.10
[AI 요약] 코로나19가 발생한 이후 전 세계는 급격한 변화를 경험하고 있다. 단적으로 꼽아보자면 외부 활동 자제, 재택근무 증가로 인한 온라인...
카카오, 디지털 헬스케어 CIC 설립…황희 분당서울대병원 교수 영입
디지털라이프
김효정 기자
2021.12.02
카카오가 글로벌 디지털헬스케어 사업에 진출한다. 카카오는 12월 6일부로 글로벌 디지털헬스케어 사업을 전담할 헬스케어 CIC(사내독립기업)를 설립하고, 대표로 황희 분당서울대병원 교수, 이지케어텍...
美대학, 뼈에 컴퓨터 심었다···뼈 건강상태 실시간 영구 전송
인사이트42
이재구 기자
2021.11.24
미국 애리조나대 연구원들이 뼈와 영구적으로 결합해 무선으로 뼈 건강 데이터를 내 보내는 초박형 건강 모니터링 장치를 개발했다. 골다공증 등의 질환과...
KT, 건강데이터 AI 스타트업 ‘제나’와 헬스케어 키오스크 서비스 사업 시작
디지털라이프
김효정 기자
2021.10.07
KT가 생체데이터를 인공지능(AI)으로 분석하는 기술을 보유한 스타트업 제나와 헬스케어 키오스크 서비스 사업을 시작한다고 7일 밝혔다. 이번에 KT와 함께 헬스케어 키오스크...
[Focus 마이데이터]⑦ 핀란드 일으킨 의료 데이터, 韓 '마이 헬스웨이'로 이식됐다
인사이트42
석대건 기자
2021.09.28
2000년 초반 핀란드는 곧 노키아였다. 당시 글로벌 1위 휴대폰 기업이었던 노키아는 핀란드 수출의 1/4를 차지할 정도로 비중이 높았다. 2009년 전...
헬스케어로 발 넓히는 한컴…한컴MDS, 케어링크 인수
비즈니스
석대건 기자
2021.07.19
한글과컴퓨터그룹이 헬스케어 분야로 사업 영역을 넓힌다. 자회사 한컴MDS를 통해 토탈 헬스케어 서비스 기업 '케어링크'의 지분 63.4%를 인수했다. 케어링크는 2016년에 설립된...
'신약개발부터 신장질환 예측까지'...헬스케어 분야 10대 AI 활용 사례
AI요약
버트
2021.07.06
Artificial intelligence is becoming a reality in many medical fields and specialities, enabling healthcare stakeholders and medical professionals to identify...
<
1
2
3
4
많이 본 기사
search
envelope-o
close
arrow-circle-o-down
facebook
bars
linkedin